
Operculectomy
Minor surgical removal of gum tissue over partially erupted teeth to relieve pain and prevent infection.
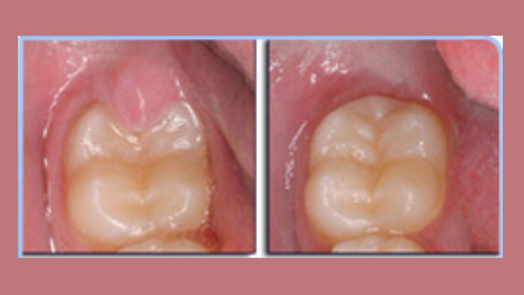
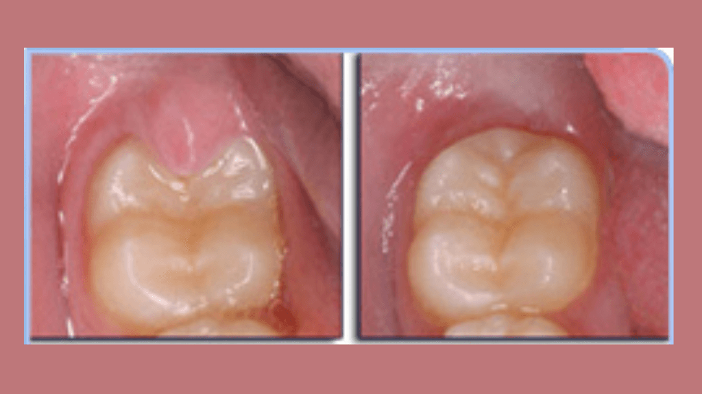
Operculectomy is a minor surgical procedure that removes the gum tissue (operculum) covering a partially erupted tooth. This is often necessary to alleviate pain, prevent pericoronitis (infection), and facilitate proper oral hygiene.

Why is it Needed?
When gum tissue traps food and bacteria over a tooth, it causes severe pain and infection. Operculectomy allows for better access to the tooth, making it easier to clean and maintaining oral health.
Benefits
Pain Relief
Significantly reduces discomfort from gum inflammation.
Prevents Infection
Eliminates the trap for bacteria.
Improved Hygiene
Makes cleaning the tooth much easier.
Enhanced Health
Prevents future complications.
Ready to wear your
best smile?
Join the 10,000+ happy patients who have trusted Tooth 'n' Implants with their oral health. Your journey begins with a single step.