
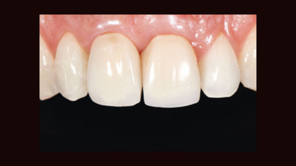
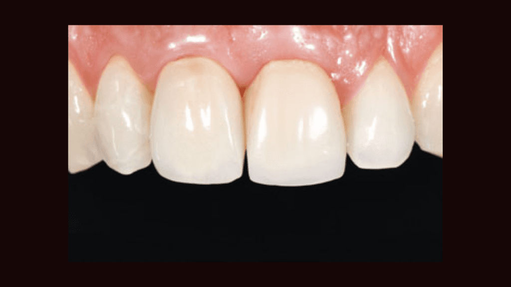
Acrylic Crown
Temporary crowns providing durability and natural appearance while permanent crowns are crafted.
Are you looking for a reliable solution to restore your smile with Acrylic Crowns? At Tooth N Implants Dental Clinic, led by Dr. Gajula Venu Madhav, MDS Prosthodontist and Implantologist, we offer expert care and advanced solutions tailored to your dental needs.

What are Acrylic Crowns?
Acrylic Crowns, also known as temporary crowns, are ideal for restoring damaged or decayed teeth while permanent crowns are being crafted. They provide durability and a natural appearance, ensuring both functionality and aesthetics.
Why Choose Tooth N Implants Dental Clinic?
Expertise
Dr. Gajula Venu Madhav, with extensive experience in Prosthodontics and Implantology, ensures precise diagnosis and treatment planning for Acrylic Crowns.
Advanced Technology
We utilize state-of-the-art equipment and techniques to deliver superior results in dental restoration, including Acrylic Crowns.
Personalized Care
Each patient receives individualized attention, ensuring comfort and satisfaction throughout their treatment journey.
Benefits of Acrylic Crowns
Affordability
Cost-effective solution for temporary tooth restoration.
Durability
Designed to withstand daily wear and tear.
Natural Appearance
Mimicking the look and feel of natural teeth.
Ready to wear your
best smile?
Join the 10,000+ happy patients who have trusted Tooth 'n' Implants with their oral health. Your journey begins with a single step.