
Cementation of Dislodged Crown
Quick and painless procedure to re-cement loose or dislodged crowns using durable adhesive.
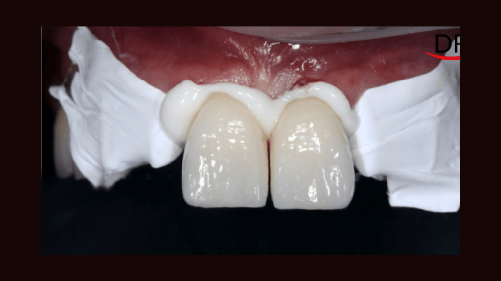
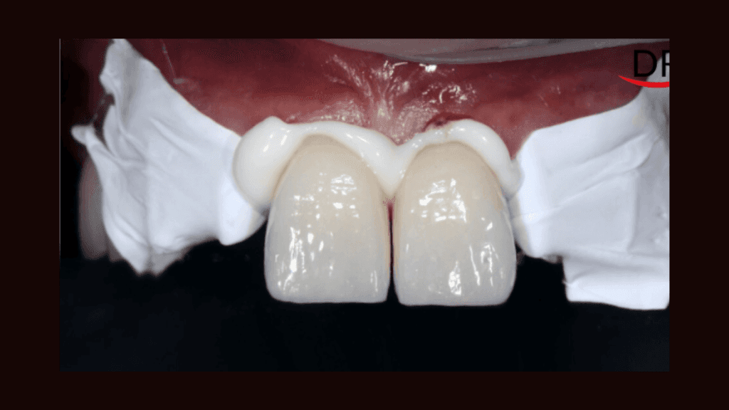
A dislodged crown can be a frustrating and worrying dental experience. At Tooth N Implants Dental Clinic, led by the esteemed Dr. Gajula Venu Madhav (MDS Prosthodontist and Implantologist), we understand the importance of restoring your smile quickly and efficiently. We offer expert crown recementation services to get your smile back on track.

What is Crown Recementation?
A dental crown is a cap placed over a damaged or weakened tooth to restore its strength, function, and appearance. Sometimes, due to wear and tear or trauma, a crown can become loose or dislodged. Crown recementation is a quick and painless procedure where Dr. Madhav carefully cleans the tooth and crown, and then re-cements it back into place using a strong and durable dental adhesive.
Why Choose Tooth N Implants Dental Clinic for Crown Recementation?
Experienced Prosthodontist
Dr. Madhav, a highly skilled prosthodontist, specializes in restoring and replacing teeth. His expertise ensures a precise and long-lasting recementation of your crown.
Advanced Materials and Techniques
We utilize the latest dental materials and techniques for crown recementation, ensuring optimal strength and a natural-looking restoration.
Minimally Invasive Procedure
Crown recementation is a quick and comfortable process, often completed in a single visit.
Same-Day Repair
In most cases, we can recement your crown during the same appointment, minimizing disruption to your schedule.
Comfortable and Welcoming Environment
Our friendly staff and comfortable environment ensure a relaxing experience during your crown recementation procedure.
Ready to wear your
best smile?
Join the 10,000+ happy patients who have trusted Tooth 'n' Implants with their oral health. Your journey begins with a single step.